Irapuato, sede de foro ‘Guanajuato: impacto social en la sustentabilidad urbana”

En su discurso, la alcaldesa, Lorena Alfaro García, destacó la importancia de estos foros que contribuyen a la actualización de temas como el medio ambiente, un compromiso del gobierno que representa.

Leer más

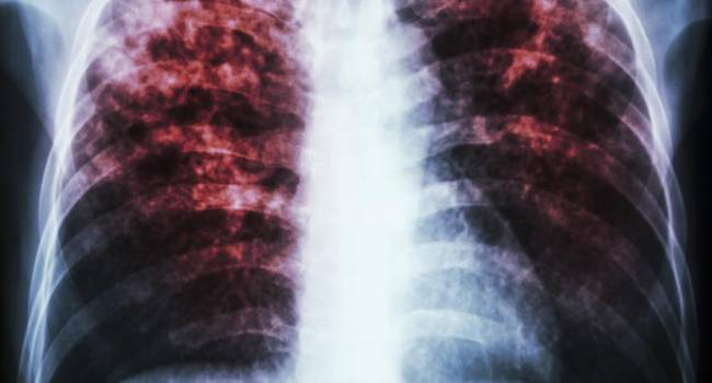
En 2021 Guanajuato registró 373 casos de tuberculosis

Entre los síntomas de esta enfermedad destaca la desnutrición, la fiebre vespertina, la vulnerabilidad y marginación, además que los fumadores, personas con diabetes, con VIH, pueden ser propensos a esta enfermedad, por lo que es a la población que más se debe cuidar.

Leer más

Firma SEG convenio de colaboración con el INE y el IEEG para proceso electoral del 2021

La Secretaría de Educación de Guanajuato (SEG), firmó un convenio general de apoyo y colaboración con la Junta Local Ejecutiva de Guanajuato del Instituto Nacional Electoral (INE) y el Instituto Electoral de Estado de Guanajuato (IEEG).

Leer más